Skip to main content
Beverly Hills
310-777-2627
New York City
212-988-9769
Instagram
Home
About Dr. Lee
Photo Gallery
Facial Feminization Surgery
Face
Blepharoplasty
Browlift
Brow Bone Reduction
Cheek Augmentation/Cheek Reduction
Chin Augmentation and Genioplasty Surgery
Facelift
Fat Grafting/Fat Transfer
Hairline Advancement
Jaw Augmentation / Jaw Reduction
Lip Augmentation
Neck Lift
Neck / Chin Liposuction
Otoplasty
Rhinoplasty
Thyroid Cartilage Shave
Body
Breast Augmentation
Locations
Out Of State Patients
Beverly Hills, CA
Dubai, UAE
Manhattan, NY
Media
Reviews
Blog
Contact
Locations
Beverly Hills
310-777-2627
New York City
212-988-9769
Instagram
Blepharoplasty Gallery
Back To Galleries
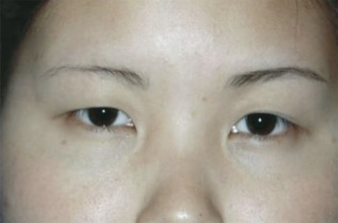
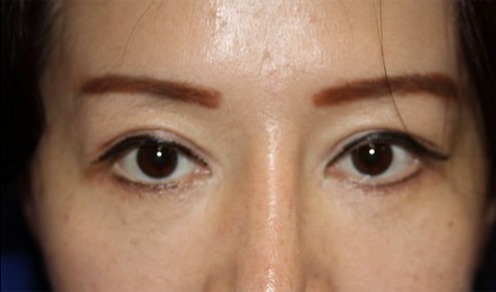
Patient 11
Procedure:
Blepharoplasty
Patient 12
Procedure:
Blepharoplasty
Patient 13
Procedure:
Blepharoplasty
Patient 14
Procedure:
Blepharoplasty
Patient 15
Procedure:
Blepharoplasty
Previous Page